Chuyên mục
Đây là bộ não của 2 đứa trẻ và lý do làm nên sự khác biệt sẽ khiến tất cả mọi người phải giật mình
BÌNH LUẬN
Chưa có bình luận nào cho bài viết này.

Đây là bộ não của 2 đứa trẻ và lý do làm nên sự khác biệt sẽ khiến tất cả mọi người phải giật mình

Thứ tư 19/04/2017 10:29 GMT + 7
Não bộ phát triển không đầy đủ là nguyên nhân hàng đầu khiến trẻ hình thành những hành vi bạo lực, phạm pháp sau này. Nhưng lí do gây tổn thương cho não quả thực sẽ khiến nhiều người bất ngờ.



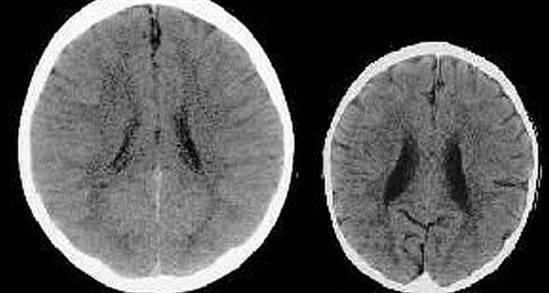
Cụ thể hơn, dưới đây là não của 2 đứa trẻ 3 tuổi. Chỉ cần thoáng quan sát, ai cũng nhận ra bộ não bên trái lớn hơn rất nhiều, đúng không?

Tấm phim chụp này đã được nhiều nhà thần kinh học sử dụng để nghiên cứu. Theo đó, bộ não bên phải thiếu đi rất nhiều khu vực cơ bản, và sự thiếu hụt này có thể gây ảnh hưởng nghiêm trọng đến sự phát triển của trẻ sau này.

Đứa trẻ thiếu may mắn khi trưởng thành sẽ kém thông minh hơn, khả năng đồng cảm thấp hơn, có xu hướng sử dụng chất kích thích nhiều hơn, và thiên hướng bạo lực cũng gia tăng. Bé cũng dễ trở thành đối tượng thất nghiệp, phải sống nhờ trợ cấp xã hội, đồng thời phải gánh chịu tương lai chứa nhiều bệnh tật phía trước.

Nhưng sự khác biệt này đến từ đâu? Có phải do tai nạn, hay do một căn bệnh nào đó?

Rất tiếc là không phải! Các chuyên gia cho biết, lý do làm nên sự khác biệt này đến từ các bà mẹ, mà cụ thể là cách chăm sóc của mẹ với bé. Đứa trẻ bên trái nhận được đầy đủ sự yêu thương, chăm sóc và trách nhiệm, trong khi đứa trẻ thiếu may mắn kia sống trong bạo hành và gần như bị bỏ bê hoàn toàn.

Cách chăm sóc có ảnh hưởng nghiêm trọng đến sự phát triển não bộ của trẻ

Các chuyên gia từ ĐH California, Los Angeles (UCLA, Mỹ) đã thực hiện một số nghiên cứu để hiểu được sự tương tác giữa mẹ và bé, và sự ảnh hưởng của yếu tố này đến quá trình phát triển não bộ của trẻ.

Theo giáo sư Allan Schore từ UCLA, tế bào não phát triển được là nhờ "sự tương tác giữa bé và người chăm sóc - thường là mẹ". "Các mạch não phụ thuộc vào sự tương tác tích cực với người mẹ để phát triển" - ông cho biết.



Giáo sư Schore chỉ ra rằng, ở những em bé không được quan tâm chăm sóc đúng cách trong vòng 2 năm đầu tiên, các đoạn gene chịu trách nhiệm vận hành não (bao gồm cả gene trí tuệ) sẽ không thể hoạt động, thậm chí là không xuất hiện.

Ông cho biết, đã có rất nhiều bằng chứng cho thấy việc đối xử với trẻ trong 2 năm đầu tiên gây ảnh hưởng nhiều như thế nào. Đây là quãng thời gian 80% tế bào não được xây dựng và hình thành, vậy nên càng bỏ bê hoặc bạo hành trẻ dưới bất kỳ hình thức nào, ảnh hưởng sẽ càng nghiêm trọng. Và nếu như điều này khiến cho quá trình kết nối tế bào não gặp sự cố, tác động nó gây ra sẽ là vĩnh viễn.

Vòng lặp nguy hiểm cho xã hội...

Theo giáo sư Schore, đây là một phát hiện quan trọng đối với xã hội. Nếu như cách đối xử với trẻ em gây ảnh hưởng đến sự phát triển của não bộ, nó sẽ tạo thành một vòng lặp rất tiêu cực: Đứa trẻ lớn lên với nhân cách khó thay đổi - không được giáo dục đầy đủ - khó khăn khi tìm việc làm - nghèo đói - nghiện ngập - phạm tội... Vòng lặp này không dễ gì phá vỡ nếu như một gia đình vướng phải nó.

Các khảo sát xã hội tại Mỹ năm 2012 đã chỉ ra rằng trong số những đứa trẻ có xu hướng bạo lực, có đến 3/4 não bộ phát triển không bình thường. Và hệ quả cũng chỉ vì chúng bị bỏ bê, không được chăm sóc đầy đủ trong 2 năm đầu đời.



Những đứa trẻ này có thể được trợ giúp hòa nhập với xã hội qua nhiều chương trình của chính phủ, nhưng các số liệu cho thấy hiệu quả không hề cao.

... và cách để phá bỏ vòng lặp

Đơn giản chỉ là yêu thương và chăm sóc con thật tử tế ngay trong những năm đầu đời, dù để làm được điều này không phải dễ dàng. Các bà mẹ cần hiểu rằng chăm sóc trẻ đúng cách là một việc làm không chỉ vì tương lai của bé, mà còn đem lại lợi ích cho xã hội nữa.

Theo các dữ liệu khảo sát tại bang New York (Mỹ), nơi đây đã triển khai nhiều chương trình tuyên truyền dành cho các bà mẹ mang thai hoặc có con nhỏ từ năm 1997. Kết quả tính đến năm 2012, lượng tội phạm ở độ tuổi vị thành niên đã giảm 50%, số vụ bị kết án giảm 80%, và tỉ lệ sử dụng chất kích thích cũng hạ đột biến.



Tỉ lệ thanh thiếu niên phạm tội tại New York giảm đáng kể từ khi các chương trình tuyên truyền xuất hiện.

"Chẳng có gì phải nghi ngờ việc ngăn chặn từ sớm sẽ giúp xã hội của chúng ta phát triển tốt hơn" - Graham Allen, thành viên Công Đảng Anh cho biết. "Cái lợi đầu tiên sẽ là về tài chính thuế phải chi ít hơn, giảm ngân sách phúc lợi, giảm số lượng nhà tù...".

Lợi ích về lâu dài sẽ là vô cùng lớn. Vậy nên, các bà mẹ cần chăm sóc con mình thật đầy đủ, đặc biệt là trong 2 năm đầu tiên sau khi bé chào đời.
Nguồn: cafebiz.vn
31 bạn đọc
Đánh giá tốt
Chuyên mục liên quan
X
Bình luận của bạn:

СМИ сетевое издание «Baonga.com» зарегистрировано в Федеральной службе по надзору в сфере связи, информационных технологий и массовых коммуникаций. Регистрационный номер средства массовой информации Эл № ФС77-73891 от 29 октября 2018 г. Учредитель Ха Вьет Лонг, номер телефона: +7(905) 238 89 99. Главный редактор: Чан Тхи Тху Ха: Адрес электронной почты: info@baonga.com; Номер телефона: +7(960) 222 19 99. Настоящий ресурс содержит материалы 16+. Использование информации с данного веб-сайта возможно исключительно на следующих условиях: В конце текста необходимо указывать ссылку на сайт https://baonga.com. Текст должен копироваться в первоначальном виде. Не допускается удаление ссылки на данный веб-сайт из текстов материалов. Реклама: Rus +7(926) 282 29 86 (Viber, Whatsapp, Zalo); Вьетнам +84.979.137.386.