Chuyên mục
Mỹ nghiên cứu vaccine Covid-19 nhỏ qua đường mũi
BÌNH LUẬN
Chưa có bình luận nào cho bài viết này.

Mỹ nghiên cứu vaccine Covid-19 nhỏ qua đường mũi

Chủ nhật 23/08/2020 14:26 GMT + 7

Các nhà khoa học tại Đại học Y khoa Washington, Mỹ đang phát triển một loại vaccine chống virus SARS-CoV-2 có thể nhỏ qua mũi. Theo công bố mới nhất, vaccine này có hiệu quả trong việc ngăn ngừa nhiễm bệnh ở chuột.

 

 
Vaccine Covid-19 nhỏ qua mũi đã ngăn ngừa việc lây nhiễm bệnh trên chuột. Ảnh: iStock Images.


Tiếp theo, các nhà khoa học có kế hoạch thử nghiệm vaccine này ở linh trưởng và ở người để xem liệu nó có an toàn và hiệu quả trong việc ngăn ngừa nhiễm Covid-19 hay không.

Nghiên cứu được công bố trực tuyến trên tạp chí Cell ngày 19-8.

Không giống như các vaccine Covid-19 khác đang được phát triển, vaccine này được cung cấp qua mũi, thường là vị trí nhiễm bệnh ban đầu. Trong nghiên cứu mới, các nhà nghiên cứu phát hiện ra rằng nhỏ vaccine qua đường mũi tạo ra phản ứng miễn dịch mạnh mẽ trên khắp cơ thể, nhưng nó đặc biệt hiệu quả ở mũi và đường hô hấp, ngăn ngừa virus xâm nhập vào cơ thể.

Giáo sư, Tiến sĩ, bác sĩ miễn dịch học Michael S. Diamond thuộc Đại học Y khoa Washington cho biết: “Chúng tôi rất ngạc nhiên khi thấy phản ứng miễn dịch mạnh mẽ của các tế bào niêm mạc bên trong mũi và đường hô hấp trên của chuột và khả năng bảo vệ chúng khỏi sự lây nhiễm của virus".

“Những con chuột này đã được bảo vệ tốt khỏi dịch bệnh Covid-19. Và ở một số con chuột, chúng tôi đã thấy bằng chứng về khả năng miễn dịch khi không có dấu hiệu nhiễm trùng nào sau khi con chuột bị thử thách với virus”, ông Diamond nói.

Để phát triển vaccine, các nhà nghiên cứu đã đưa protein đột biến mà virus SARS-CoV-2 sử dụng để xâm nhập tế bào vào bên trong một loại virus khác được gọi là adenovirus gây ra cảm lạnh thông thường. Nhưng các nhà khoa học đã điều chỉnh adenovirus khiến nó không thể gây bệnh.

Khi vaccine chứa adenovirus vô hại mang protein đột biến được nhỏ vào mũi, cho phép cơ thể hình thành hệ thống miễn dịch chống lại virus SARS-CoV-2 mà không bị bệnh. Trong một cải tiến khác, ngoài vaccine nhỏ qua đường mũi, các nhà khoa học chế tạo thêm vaccine tiêm mới kết hợp hai đột biến vào protein đột biến giúp ổn định nó ở một hình dạng cụ thể có lợi nhất cho việc hình thành các kháng thể chống lại nó.

 


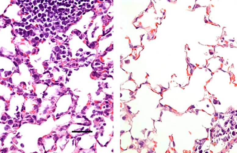
Bên trái là mô phổi của một con chuột được tiêm vaccine đối chứng không tạo ra tác dụng bảo vệ khiến nó bị nhiễm SARS-CoV-2, loại virus gây ra Covid-19. Hình ảnh cho thấy một số lượng lớn các tế bào viêm. Bên phải là mô phổi của một con chuột được nhỏ vaccine Covid-19 mới qua mũi. Vaccine đã bảo vệ chuột chống lại nhiễm trùng, và không có số lượng lớn các tế bào viêm nhiễm. Ảnh: Hassan et al. 


“Adenovirus là cơ sở cho nhiều loại vaccine chống Covid-19 và các bệnh truyền nhiễm khác, chẳng hạn như virus Ebola và bệnh lao. Chúng có hồ sơ an toàn và hiệu quả tốt, nhưng chưa có nhiều nghiên cứu được thực hiện về việc nhỏ loại vaccine này qua đường mũi”, Giáo sư, Tiến sĩ, bác sĩ về xạ trị ung thư thuộc Đại học Y khoa Washington David T. Curiel, đồng tác giả chính cho biết.

Giáo sư David T. Curiel nói: “Tất cả các ứng cử viên vaccine adenovirus chống Covid-19 khác đang được phát triển đều được tiêm vào cánh tay hoặc cơ đùi. Mũi là một tuyến mới, vì vậy kết quả của chúng tôi rất đáng ngạc nhiên và đầy hứa hẹn”.

“Điều quan trọng là vaccine nhỏ qua đường mũi chỉ một liều duy nhất đã tạo ra phản ứng miễn dịch mạnh mẽ. Còn các loại vaccine khác yêu cầu hai liều mới bảo vệ đầy đủ. Như vậy sẽ kém hiệu quả hơn, vì một số người, vì nhiều lý do khác nhau, không bao giờ nhận được liều thứ hai”, ông giải thích.

Trước đó, đã từng có một loại vaccine cúm có tên là FluMist được nhỏ qua mũi. Vaccine này sử dụng một dạng virus cúm sống đã suy yếu nhưng không thể được tiêm cho một số nhóm nhất định, bao gồm cả những người có hệ miễn dịch bị tổn thương do các bệnh như ung thư, HIV và bệnh tiểu đường.

Ngược lại, vaccine nhỏ mũi Covid-19 mới trong nghiên cứu này không sử dụng virus sống có khả năng nhân lên, vì thế nó có thể sẽ an toàn hơn.

Các nhà nghiên cứu đã thử nghiệm vaccine trên chuột theo cả hai cách: nhỏ trong mũi và qua tiêm bắp. Trong khi thuốc tiêm gây ra phản ứng miễn dịch ngăn ngừa viêm phổi, nó không ngăn ngừa lây nhiễm ở mũi và phổi. Loại vaccine này có thể làm giảm mức độ nghiêm trọng của Covid-19, nhưng nó sẽ không ngăn chặn hoàn toàn sự lây nhiễm hoặc ngăn những con chuột bị nhiễm lây lan virus.

Ngược lại, việc nhỏ vaccine qua đường mũi giúp ngăn ngừa nhiễm trùng ở cả đường hô hấp trên và dưới - mũi và phổi và cho thấy những con chuột được nhỏ vaccine không lây lan virus hoặc phát triển viêm nhiễm ở những nơi khác trong cơ thể.

Các nhà nghiên cứu cho biết, nghiên cứu đầy hứa hẹn, nhưng lưu ý rằng vaccine này cho đến nay mới chỉ được nghiên cứu trên chuột.

Giáo sư Diamond nói: “Chúng tôi sẽ sớm bắt đầu nghiên cứu thử nghiệm loại vaccine nhỏ qua mũi này ở linh trưởng và có kế hoạch chuyển sang thử nghiệm lâm sàng trên người càng nhanh càng tốt”.

“Chúng tôi lạc quan, nhưng điều này cần tiếp tục thông qua các đánh giá thích hợp. Trong các mô hình thử nghiệm trên chuột, vaccine có tính bảo vệ cao. Chúng tôi đang mong đợi bắt đầu vòng nghiên cứu tiếp theo và cuối cùng là thử nghiệm ở người để xem liệu có thể tạo ra loại vaccine miễn dịch mà chúng tôi nghĩ rằng không chỉ sẽ ngăn ngừa nhiễm trùng mà còn hạn chế sự lây lan virus SARS-CoV-2 trong đại dịch này hay không", Giáo sư Diamond kết luận.

 

HÙNG ANH (Theo Scitechdaily)

Nguồn: nhandan.com.vn
26 bạn đọc
Đánh giá tốt
Chuyên mục liên quan
X
Bình luận của bạn:

СМИ сетевое издание «Baonga.com» зарегистрировано в Федеральной службе по надзору в сфере связи, информационных технологий и массовых коммуникаций. Регистрационный номер средства массовой информации Эл № ФС77-73891 от 29 октября 2018 г. Учредитель Ха Вьет Лонг, номер телефона: +7(905) 238 89 99. Главный редактор: Чан Тхи Тху Ха: Адрес электронной почты: info@baonga.com; Номер телефона: +7(960) 222 19 99. Настоящий ресурс содержит материалы 16+. Использование информации с данного веб-сайта возможно исключительно на следующих условиях: В конце текста необходимо указывать ссылку на сайт https://baonga.com. Текст должен копироваться в первоначальном виде. Не допускается удаление ссылки на данный веб-сайт из текстов материалов. Реклама: Rus +7(926) 282 29 86 (Viber, Whatsapp, Zalo); Вьетнам +84.979.137.386.