Chuyên mục
Xuyên đêm cứu du khách Nga gặp nạn nguy kịch tại TP.HCM

Xuyên đêm cứu du khách Nga gặp nạn nguy kịch tại TP.HCM

Thứ tư 11/02/2026 17:18 GMT + 7
Sau tai nạn giao thông nghiêm trọng trong chuyến du lịch Việt Nam, nam du khách người Nga bị đa chấn thương, suy hô hấp và được bác sĩ tại TP.HCM phẫu thuật xuyên đêm để giữ tính mạng.
 

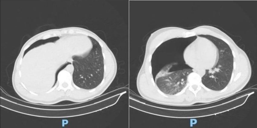
Phim CT Scan lồng ngực sáng ngày nhập viện ghi nhận bệnh nhân bị tràn khí

màng phổi phải lượng nhiều. Ảnh: BVCC.


Anh O.G. (37 tuổi, quốc tịch Nga) không may gặp tai nạn giao thông nghiêm trọng trong đêm 10/1. Anh O.G. được đưa vào Bệnh viện Nhân dân 115 (TP.HCM) trong tình trạng đa chấn thương, khó thở nhiều, đau ngực phải kèm đau vai phải, biểu hiện suy hô hấp tiến triển.

Nhận định đây là ca bệnh nặng, ê-kíp trực lập tức kích hoạt quy trình cấp cứu khẩn cấp. Bác sĩ Phạm Ngọc Huy, khoa Điều trị theo yêu cầu - Y học thể thao, cho biết kết quả chụp CT scan lồng ngực - mạch máu ghi nhận bệnh nhân bị tràn khí màng phổi phải lượng nhiều, chèn ép phổi gây khó thở. Ngoài ra, bệnh nhân bị gãy cung bên các xương sườn số 2, 3, 4 bên phải, gãy phức tạp 1/3 giữa xương đòn phải, di lệch nhiều và có mảnh rời.

"Nếu không can thiệp kịp thời, tình trạng suy hô hấp có thể diễn tiến nguy hiểm", bác sĩ Huy nói.

Khoảng 5h sáng cùng ngày, ê-kíp khoa Phẫu thuật Tim - Lồng ngực - Mạch máu đã tiến hành đặt dẫn lưu màng phổi phải cấp cứu. Thủ thuật được triển khai nhanh chóng, chính xác, giúp phổi nở trở lại tốt. Chỉ sau vài giờ, tình trạng hô hấp của bệnh nhân cải thiện rõ rệt.

Sau hai ngày theo dõi hậu phẫu, khi chức năng hô hấp đã ổn định và ống dẫn lưu được rút, bệnh nhân tiếp tục được chuyển sang khoa Điều trị theo yêu cầu - Y học thể thao để xử trí chấn thương xương đòn.

Tại đây, các bác sĩ tiến hành hội chẩn liên khoa cùng gây mê hồi sức và đánh giá người bệnh đủ điều kiện an toàn để thực hiện phẫu thuật kết hợp xương đòn phải bằng nẹp vít.

Phẫu thuật diễn ra thuận lợi, nẹp vít được đặt vững chắc, trục xương phục hồi giải phẫu tốt. Sau mổ, nam du khách hồi phục nhanh, chức năng vận động tay phải cải thiện từng ngày. Sau 4 ngày điều trị tại khoa, bệnh nhân được xuất viện trong tình trạng sức khỏe ổn định.

Theo bác sĩ Huy việc phối hợp chặt chẽ giữa các chuyên khoa đóng vai trò quyết định trong xử trí những trường hợp đa chấn thương phức tạp, đặc biệt khi có tổn thương ngực kèm gãy xương đòn.

Dù gặp rào cản ngôn ngữ và xa gia đình trong thời gian điều trị, anh O.G. vẫn nhận được sự hỗ trợ từ đội ngũ y bác sĩ và điều dưỡng. Trước khi rời viện, nam du khách bày tỏ sự hài lòng, ấn tượng với tốc độ cấp cứu xuyên đêm và tinh thần trách nhiệm của các bác sĩ Việt Nam.


Nguyễn Thuận

Nguồn: znews.vn
5 bạn đọc
Đánh giá tốt
Chuyên mục liên quan
X
Bình luận của bạn:

СМИ сетевое издание «Baonga.com» зарегистрировано в Федеральной службе по надзору в сфере связи, информационных технологий и массовых коммуникаций. Регистрационный номер средства массовой информации Эл № ФС77-73891 от 29 октября 2018 г. Учредитель Ха Вьет Лонг, номер телефона: +7(905) 238 89 99. Главный редактор: Чан Тхи Тху Ха: Адрес электронной почты: info@baonga.com; Номер телефона: +7(960) 222 19 99. Настоящий ресурс содержит материалы 16+. Использование информации с данного веб-сайта возможно исключительно на следующих условиях: В конце текста необходимо указывать ссылку на сайт https://baonga.com. Текст должен копироваться в первоначальном виде. Не допускается удаление ссылки на данный веб-сайт из текстов материалов. Реклама: Rus +7(926) 282 29 86 (Viber, Whatsapp, Zalo); Вьетнам +84.979.137.386.