Chuyên mục
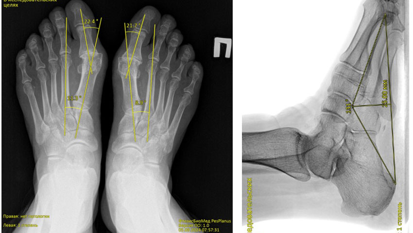
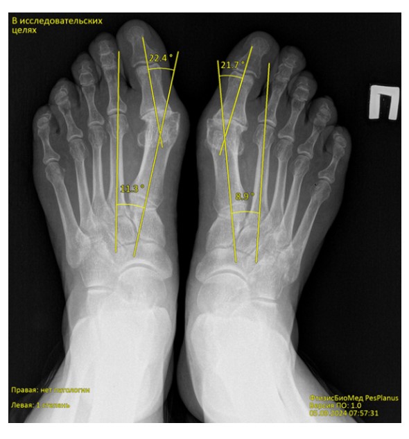
Chương trình phân tích tự động ảnh ‘X-quang bàn chân’ phát hiện bàn chân bẹt dọc và bẹt ngang

Chương trình phân tích tự động ảnh ‘X-quang bàn chân’ phát hiện bàn chân bẹt dọc và bẹt ngang

Thứ tư 07/01/2026 16:38 GMT + 7

Bàn chân bẹt dọc và bàn chân bẹt ngang là những rối loạn hình thái bàn chân phổ biến, với tỷ lệ mắc ước tính từ 45% đến 70% ở người trưởng thành trên toàn thế giới. Đặc biệt, tại các quốc gia có khí hậu nóng, việc sử dụng giày dép không có gót lâu dài làm gia tăng đáng kể nguy cơ mắc bệnh.

Việc phát hiện chính xác bàn chân bẹt có ý nghĩa quan trọng trong thực hành lâm sàng, y học dự phòng cũng như trong các quyết định mang tính quản lý nhà nước, đặc biệt là trong công tác tuyển chọn sức khỏe nghĩa vụ quân sự. Ở những trường hợp bàn chân bẹt, việc mang giày quân đội kèm tải trọng có thể dẫn đến tổn thương cột sống và khớp gối, làm suy giảm khả năng lao động và khả năng chiến đấu.

Mục tiêu của chương trình

 


FtizisBioMed PesPlanus được phát triển nhằm phân tích tự động hình ảnh X-quang kỹ thuật số của bàn chân, hỗ trợ bác sĩ trong việc:

Phát hiện sớm các dấu hiệu bàn chân bẹt dọc và bẹt ngang;

Chuẩn hóa và nâng cao độ chính xác trong đánh giá hình ảnh X-quang;

Hỗ trợ ra quyết định y khoa dựa trên dữ liệu.

Giải pháp công nghệ

Chương trình ứng dụng trí tuệ nhân tạo y tế (Medical AI) và các mô hình học máy tiên tiến để phân tích hình ảnh X-quang bàn chân. Hệ thống được huấn luyện trên tập dữ liệu lớn đã được gán nhãn bởi các chuyên gia đầu ngành, đảm bảo độ tin cậy và khả năng tái lập kết quả cao.

Ưu điểm và lợi ích

Việc triển khai FtizisBioMed PesPlanus mang lại các lợi ích nổi bật sau:

Nâng cao chất lượng phân tích hình ảnh X-quang bàn chân, giảm thiểu sai sót chủ quan của con người, đồng thời rút ngắn thời gian đọc và phân tích phim mà vẫn duy trì chất lượng ổn định.

Tích hợp linh hoạt và liền mạch vào các hệ thống thông tin y tế hiện có (HIS, RIS, PACS), không làm gián đoạn quy trình sàng lọc.

Tự động phát hiện và nhận diện nhiều dấu hiệu bệnh lý hình thái bàn chân, hỗ trợ tự động hóa bước đọc phim ban đầu.

Giảm tải áp lực công việc cho đội ngũ bác sĩ, nâng cao hiệu suất và tính nhất quán trong chẩn đoán.

Hiệu năng và độ tin cậy

Nhờ quá trình huấn luyện học máy trên dữ liệu chất lượng cao, chương trình đạt được các chỉ số hiệu năng cao, đáp ứng yêu cầu ứng dụng trong môi trường lâm sàng và sàng lọc quy mô lớn.

Đối tượng ứng dụng

Cơ sở y tế, bệnh viện, phòng khám chẩn đoán hình ảnh;

Trung tâm khám tuyển nghĩa vụ quân sự;

Các chương trình sàng lọc sức khỏe cộng đồng;

Nghiên cứu khoa học và đào tạo y khoa.

 





Đơn vị phát triển: Công ty TNHH FtizisBioMed
Email: info@ftizisbiomed.ru

Nhận các tài liệu liên quan liên hệ theo email: info@baonga.com

 

Hà An


Nguồn: Trí tuệ nhân tạo y tế FtizisBioMed PesPlanus
0 bạn đọc
Đánh giá tốt
Chuyên mục liên quan
X
Bình luận của bạn:

СМИ сетевое издание «Baonga.com» зарегистрировано в Федеральной службе по надзору в сфере связи, информационных технологий и массовых коммуникаций. Регистрационный номер средства массовой информации Эл № ФС77-73891 от 29 октября 2018 г. Учредитель Ха Вьет Лонг, номер телефона: +7(905) 238 89 99. Главный редактор: Чан Тхи Тху Ха: Адрес электронной почты: info@baonga.com; Номер телефона: +7(960) 222 19 99. Настоящий ресурс содержит материалы 16+. Использование информации с данного веб-сайта возможно исключительно на следующих условиях: В конце текста необходимо указывать ссылку на сайт https://baonga.com. Текст должен копироваться в первоначальном виде. Не допускается удаление ссылки на данный веб-сайт из текстов материалов. Реклама: Rus +7(926) 282 29 86 (Viber, Whatsapp, Zalo); Вьетнам +84.979.137.386.