Chuyên mục
Quá trình xâm nhập và gây bệnh cho cơ thể của virus corona

Quá trình xâm nhập và gây bệnh cho cơ thể của virus corona

Thứ sáu 13/03/2020 05:47 GMT + 7

New York Times tổng hợp những gì các nhà khoa học tìm hiểu về cách thức virus mới lây nhiễm và tấn công các tế bào, nó ảnh hưởng thế nào đến các cơ quan ngoài phổi.


Khi các trường hợp nhiễm virus corona sinh sôi trên khắp thế giới và các chính phủ thực hiện các biện pháp phi thường để hạn chế sự lây lan, vẫn còn rất nhiều nhầm lẫn về chính xác những gì virus gây ra với cơ thể người.

Các triệu chứng - sốt, ho, khó thở - có thể báo hiệu rất nhiều bệnh, từ cúm đến liên cầu khuẩn đến cảm lạnh thông thường. Dưới đây là những gì các chuyên gia y tế và các nhà nghiên cứu đã biết cho đến nay về sự tiến triển của sự lây nhiễm do loại virus corona mới này - và những gì họ chưa biết.

 

 

Các bác sĩ kiểm tra ảnh chụp phổi của bệnh nhân tại một bệnh viện ở tỉnh Hồ Bắc vào tháng trước. Ảnh: AFP/Getty.


Virus corona này gây nhiễm thế nào?

Virus lây lan qua các giọt nhỏ trong không khí do ho hoặc hắt hơi xâm nhập qua mũi, miệng hoặc mắt của những người ở gần. Các virus trong những giọt này di chuyển nhanh chóng vào đường mũi của bạn và đến màng nhầy ở phía sau cổ họng, gắn vào một thụ thể đặc biệt trong các tế bào.

Virus corona có các protein gai đâm ra từ bề mặt của chúng, và các gai này bám vào màng tế bào, cho phép vật liệu di truyền virus xâm nhập tế bào người.

Vật liệu di truyền đó tiến hành "cướp đi sự trao đổi chất của tế bào", giúp chúng "nhân lên và tạo ra virus", bác sĩ William Schaffner, chuyên gia về bệnh truyền nhiễm tại Trung tâm Y tế Đại học Vanderbilt ở Nashville, cho biết.

Quá trình đó ảnh hưởng tới hô hấp thế nào?

Khi các bản sao của virus nhân lên, chúng bùng phát và lây nhiễm các tế bào lân cận. Các triệu chứng thường bắt đầu ở phía sau cổ họng với đau họng và ho khan.

Sau đó, virus này "bò dần dần xuống các ống phế quản". Khi virus đến phổi, màng nhầy của chúng bị viêm. Điều đó có thể làm hỏng phế nang hoặc túi phổi và chúng phải làm việc nhiều hơn để thực hiện chức năng cung cấp oxy cho máu lưu thông khắp cơ thể chúng ta và loại bỏ carbon dioxide khỏi máu để có thể thở ra.

"Nếu bạn bị sưng ở đó, việc thở oxy qua màng nhầy sẽ khó khăn hơn nhiều", bác sĩ Amy Compton-Phillips, Giám đốc lâm sàng của Hệ thống Y tế Providence, cho biết.

 


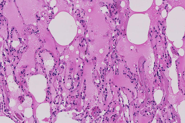
Ảnh chụp tuyến phổi của bệnh nhân đến từ Vũ Hán, cho thấy phế nang chứa đầy chất lỏng màu hồng, sự thay đổi sớm nhất trong phổi của bệnh nhân. Ảnh: Shu-Yuan Xiao.

 

Sự sưng tấy và dòng lưu thông oxy bị suy yếu có thể khiến những khu vực đó trong phổi chứa đầy chất lỏng, mủ và tế bào chết. Viêm phổi, một dạng nhiễm trùng, có thể xảy ra.

Một số người khó thở đến mức cần phải đặt máy thở. Trong những trường hợp xấu nhất, được gọi là Hội chứng Suy hô hấp Cấp tính, phổi chứa quá nhiều chất lỏng mà không có sự hỗ trợ hô hấp nào có thể giúp đỡ, và bệnh nhân chết.

Virus xâm chiếm phổi như thế nào?

Bác sĩ Shu-Yuan Xiao, giáo sư bệnh lý tại Đại học Y khoa Chicago, đã kiểm tra các hồ sơ bệnh lý trên bệnh nhân nhiễm virus corona ở Trung Quốc. Ông cho biết virus dường như bắt đầu ở các khu vực ngoại vi ở cả hai bên phổi và có thể mất thời gian để đến đường hô hấp trên, khí quản và các đường dẫn khí trung tâm khác.

Bác sĩ Xiao, người cũng là giám đốc của Trung tâm Chẩn đoán Bệnh học và Phân tử tại Đại học Vũ Hán, cho biết mô hình đó giúp giải thích tại sao ở Vũ Hán, nơi dịch bệnh bắt đầu, nhiều trường hợp sớm nhất không được xác định ngay lập tức.

Phác đồ xét nghiệm ban đầu ở nhiều bệnh viện Trung Quốc không phải lúc nào cũng phát hiện nhiễm trùng ở phổi ngoại vi, vì vậy một số người có triệu chứng được gửi về nhà mà không được điều trị.

"Họ tìm đến các bệnh viện khác để điều trị hoặc ở nhà và lây nhiễm cho gia đình họ. Đó là một trong những lý do nó lan rộng như vậy", ông nói.

Nghiên cứu gần đây của nhóm nghiên cứu tại Trường Y khoa Icahn ở Mount Sinai phát hiện hơn một nửa trong số 121 bệnh nhân ở Trung Quốc có ảnh chụp CT bình thường trong giai đoạn đầu nhiễm bệnh.

Nghiên cứu này và nghiên cứu của bác sĩ Xiao cho thấy khi bệnh tiến triển, ảnh CT cho thấy "các vệt thủy tinh mờ", một loại màng che ở các bộ phận của phổi có thể thấy rõ trong nhiều loại bệnh nhiễm trùng đường hô hấp do virus.

Những khu vực mờ đục đó có thể phân tán và dày lên khi bệnh nặng hơn, tạo ra thứ mà các bác sĩ chụp X-quang gọi là màng bao dày đặc trên máy quét.

Phổi có phải bộ phận duy nhất bị ảnh hưởng?

Phổi không nhất thiết là phần duy nhất của cơ thể bị ảnh hưởng. Bác sĩ Compton-Phillips cho biết nhiễm trùng có thể lây lan qua màng nhầy, từ mũi xuống trực tràng.

Vì vậy, trong khi virus dường như bằng không ở phổi, nó cũng có thể lây nhiễm các tế bào trong hệ thống tiêu hóa.

Đây có thể là lý do một số bệnh nhân có các triệu chứng như tiêu chảy hoặc khó tiêu. Bác sĩ Schaffner cho biết virus cũng có thể xâm nhập vào máu.

 


Ảnh chụp CT của các bệnh nhân Trung Quốc bị nhiễm virus corona. Theo chiều kim đồng hồ từ trên cùng bên trái, một phụ nữ 56 tuổi, một nam 44 tuổi, một nam 42 tuổi và một nữ 65 tuổi.


Trung tâm Kiểm soát và Phòng ngừa Dịch bệnh Mỹ nói rằng ARN từ virus corona mới đã được phát hiện trong các mẫu máu và phân, nhưng không rõ liệu virus truyền nhiễm có thể tồn tại trong máu hay phân không.

Bác sĩ George Diaz, trưởng nhóm về các bệnh truyền nhiễm tại Trung tâm Y tế Vùng Providence ở Everett, Washington, một trong những người điều trị cho bệnh nhân nhiễm virus corona đầu tiên ở Mỹ, cho biết tủy xương và các cơ quan như gan cũng có thể bị viêm. Cũng có thể có một số viêm trong các mạch máu nhỏ, như đã xảy ra với SARS, dịch bệnh bùng phát vào năm 2002 và 2003.

"Virus này thực sự sẽ tấn công vào các cơ quan như tim, thận, gan và có thể gây ra một số tổn thương trực tiếp cho các cơ quan đó", bác sĩ Schaffner cho biết. Khi hệ thống miễn dịch cơ thể nâng cấp để chống lại nhiễm trùng, tình trạng viêm có thể khiến các cơ quan đó gặp trục trặc.

Do đó, một số bệnh nhân có thể chịu tổn thương không chỉ do virus gây ra mà còn bởi hệ thống miễn dịch của chính họ khi nó nổi lên để chống lại nhiễm trùng.

Các chuyên gia chưa ghi nhận liệu virus có thể ảnh hưởng đến não hay không. Nhưng các nhà khoa học nghiên cứu SARS đã báo cáo một số bằng chứng cho thấy virus SARS có thể xâm nhập vào não ở một số bệnh nhân.

Do sự giống nhau giữa SARS và Covid-19, nhiễm trùng do virus corona mới gây ra, một bài báo được công bố vào tháng trước trên Tạp chí Y khoa về Virus đã lập luận rằng khả năng virus corona mới có thể lây nhiễm một số tế bào thần kinh không nên bị loại trừ.

Tại sao một số người bị bệnh nặng nhưng hầu hết lại không?

Khoảng 80% những người bị nhiễm virus corona mới có các triệu chứng tương đối nhẹ. Nhưng khoảng 20% người mắc bệnh nặng hơn và trong khoảng 2% bệnh nhân ở Trung Quốc, nơi có nhiều trường hợp nhất, căn bệnh này đã gây tử vong.

Các chuyên gia nói rằng các hiệu ứng dường như phụ thuộc vào mức độ mạnh yếu của mỗi người. Người già hoặc những người có bệnh nền, như bệnh tiểu đường hoặc một bệnh mãn tính khác, có nhiều khả năng phát triển các triệu chứng nghiêm trọng.

Vẫn chưa biết gì về bệnh nhân nhiễm virus corona?

Mặc dù căn bệnh này giống với SARS ở nhiều khía cạnh và có các yếu tố chung với bệnh cúm và viêm phổi, nhưng quá trình mà một bệnh nhân nhiễm virus corona sẽ trải qua vẫn chưa được hiểu đầy đủ.

Một số bệnh nhân có thể duy trì ổn định trong hơn một tuần và sau đó đột nhiên bị viêm phổi, bác sĩ Diaz nói. Một số bệnh nhân dường như phục hồi nhưng sau đó phát triển các triệu chứng một lần nữa.

Bác sĩ Xiao nói rằng một số bệnh nhân ở Trung Quốc đã hồi phục nhưng lại bị bệnh, rõ ràng là do họ bị tổn thương và mô phổi dễ bị tấn công sau đó bị vi khuẩn trong cơ thể tấn công.

Một số bệnh nhân cuối cùng đã chết vì nhiễm vi khuẩn, không phải do virus. Nhưng đây không phải nguyên nhân gây ra phần lớn các trường hợp tử vong.

Virus corona là gì?

Nó là loại virus mới được đặt tên vì các gai giống như vương miện nhô ra khỏi bề mặt của nó.

Virus corona có thể lây nhiễm cho cả động vật và người và có thể gây ra một loạt bệnh về đường hô hấp từ cảm lạnh thông thường đến các tình trạng nguy hiểm hơn như Hội chứng Hô hấp Cấp tính nặng (SARS).

WHO ngày 11/3 đã tuyên bố Covid-19 là đại dịch toàn cầu.

Cơ chế tấn công của virus với tế bào người?

Virus corona đi vào cơ thể thông qua đường mũi, miệng hoặc mắt, sau đó xâm nhập vào tế bào, giải phóng ARN và được bộ máy nội tế bào nhân bản cho đến khi tế bào dừng hoạt động.

Nên lo lắng thế nào?

Các đợt bùng phát mới ở châu Á, châu Âu và Trung Đông tiếp tục làm dấy lên nỗi lo về đại dịch toàn cầu. Trung tâm Kiểm soát và Phòng ngừa Dịch bệnh Mỹ (CDC) đã cảnh báo rằng người Mỹ nên chuẩn bị cho khả năng virus sẽ lây lan sang nước này.

Làm thế nào để giữ cho bản thân và những người khác an toàn?

Rửa tay thường xuyên là điều quan trọng nhất bạn có thể làm, cùng với việc ở nhà nếu bạn ốm.

Nếu tôi đi du lịch thì sao?

C.D.C. cảnh báo những du khách lớn tuổi và có nguy cơ nên tránh Nhật Bản, Italy và Iran.

Cơ quan này cũng đã khuyến cáo chống lại tất cả chuyến du lịch không cần thiết đến Hàn Quốc và Trung Quốc.

Nên chuẩn bị thế nào nếu dịch lây lan?

Giữ dự trữ thuốc thiết yếu trong 30 ngày. Hãy tiêm phòng cúm.

Chuẩn bị sẵn đồ gia dụng thiết yếu và hệ thống hỗ trợ tại chỗ cho các thành viên gia đình cao tuổi.

Virus đã lây lan tới đâu?

Virus có nguồn gốc từ Vũ Hán, Trung Quốc, đã làm 120.000 người nhiễm bệnh tại ít nhất 110 quốc gia và vùng lãnh thổ.

Virus truyền nhiễm thế nào?

Theo nghiên cứu sơ bộ, nó có vẻ truyền nhiễm vừa phải, tương tự SARS, và có lẽ được truyền qua hắt hơi, ho và bề mặt bị ô nhiễm.

Các nhà khoa học ước tính mỗi người nhiễm bệnh có thể lây sang khoảng 1,5-3,5 người nếu không có biện pháp ngăn chặn hiệu quả.

Ai đang làm việc để ngăn chặn virus?

Các quan chức của Tổ chức Y tế Thế giới đã làm việc với các quan chức ở Trung Quốc, nơi sự phát triển của dịch bệnh đang chậm lại.

Nhưng trong tuần này, khi các trường hợp được xác nhận tăng vọt ở hai châu lục, các chuyên gia cảnh báo rằng thế giới chưa sẵn sàng cho dịch bệnh lớn.

 

Tuyết Mai
Theo New York Times

Nguồn: zing.vn
27 bạn đọc
Đánh giá tốt

X
Bình luận của bạn:

СМИ сетевое издание «Baonga.com» зарегистрировано в Федеральной службе по надзору в сфере связи, информационных технологий и массовых коммуникаций. Регистрационный номер средства массовой информации Эл № ФС77-73891 от 29 октября 2018 г. Учредитель Ха Вьет Лонг, номер телефона: +7(905) 238 89 99. Главный редактор: Чан Тхи Тху Ха: Адрес электронной почты: info@baonga.com; Номер телефона: +7(960) 222 19 99. Настоящий ресурс содержит материалы 16+. Использование информации с данного веб-сайта возможно исключительно на следующих условиях: В конце текста необходимо указывать ссылку на сайт https://baonga.com. Текст должен копироваться в первоначальном виде. Не допускается удаление ссылки на данный веб-сайт из текстов материалов. Реклама: Rus +7(926) 282 29 86 (Viber, Whatsapp, Zalo); Вьетнам +84.979.137.386.